Cabinet du Docteur Soraya GRITLI
ORTHODONTISTE À VILLEPREUX - ORTHODONTIE DE L'ADULTE, ORTHODONTIE DE L'ENFANT
Cabinet du Docteur Soraya GRITLI
ORTHODONTISTE À VILLEPREUX - ORTHODONTIE DE L'ADULTE, ORTHODONTIE DE L'ENFANT

4 Avenue du général de Gaulle
78450 VILLEPREUX

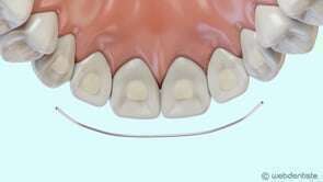
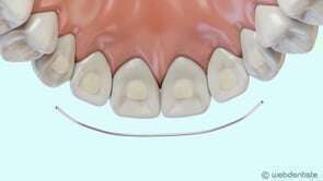
Fil de contention


video-play-icon

Articles similaires

Création par Webdentiste

Connexion